摘要:首款IgA肾病特效药物Kinpeygo!将尿肌酐下降34%
2022年7月15日,欧盟委员会授予了 Kinpeygo的上市许可,用于治疗原发性 IgA肾病。Kinpeygo是一种新型的抗体,它可以有效地抑制 IgA抗体,从而有效地抑制原发性 IgA肾病患者的疾病发展。此外, Kinpeygo也是目前第一个获批治疗原发性 IgA肾病的药物,未来有望满足原发性 IgA肾病患者的特效治疗需求。

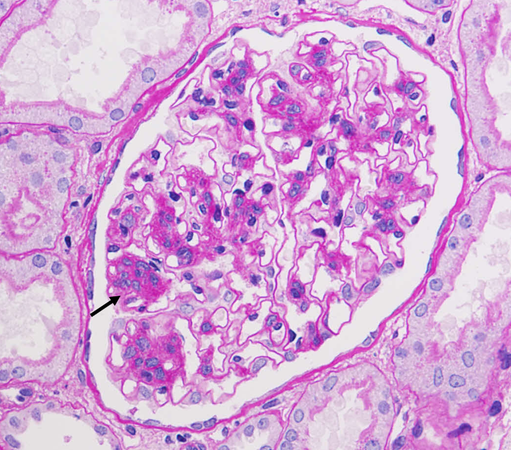
IgA肾病(IgA肾病)是全球发病率最高的原发性肾小球肾炎,发病隐匿,多见于青年人,其病理特征为系膜IgA1沉积,系膜细胞及系膜基质增生,细胞因子分泌,引起肾损害。其临床症状多种多样,以反复出现的血尿、有或无蛋白尿为主,常伴有粘膜感染,发展成进展性肾功能不全,甚至是肾衰竭,对人体健康造成了极大的危害。2020 年全球IgA肾病患者达926.69 万人(其中中国220 万人),预计2030 年达到1,016.52万人(其中中国237 万人)。

一般都是由支持性治疗、免疫治疗和/或扁桃体切除术组成,而且各地区所使用的治疗方式有很大的差别。
有研究结果表明,低蛋白膳食可以减少肾小球内的水压,延缓肾脏损伤,是一种较为适宜的膳食模式。在 IgA肾病患者中,低盐膳食也被证实对其有益处,而在原发 IgA肾病患者中,限盐能够提高 RAS抑制剂的抗蛋白尿效果。

对于原发于 IgA肾病的病人,控制体重也是一种支持性治疗方法。我们前期研究发现, BMI (<18.5 kg/m2)与 IgA肾病向终末期肾病发展密切相关,日本的一项研究发现 BMI (>23 kg/m2)与 IgA肾病密切相关,但其作用机制不清。
在此基础上,针对蛋白尿>1 g/d的原发 IgA肾病,应用 ACEI、 ARB等阻断剂,阻断 RAS活性。一项 Meta分析表明,抗肿瘤药物ACE-I/ARB能够降低蛋白尿,降低血压,延缓肾脏功能的衰退,因此,抗肿瘤药物 RAS被认为是治疗 IgA肾病的一线药物。
与欧美相比,亚洲的扁桃体切除手术更为普遍,有研究表明该手术可降低上呼吸道感染,进而降低Gd-lgA1d的生成。
亚洲与欧美对该手术的研究结果截然相反:亚洲人群研究显示,该手术对 IgA肾病有明显改善作用,但欧洲大规模回顾性研究表明,该手术并不能改善 IgA肾病。
这一不同之处可能在于其手术实施的时机不同,对于亚洲而言,此法一般是在诊断出原发 IgA肾病之后立即施行,而对于欧美国家,则经常是在再次出现扁桃腺炎症之后。据《世界肾病预后组织》(KDIGO)推荐,日本指南推荐在 IgA肾病自然病程较早时实施。
在原发性 IgA肾病中,已经尝试应用过许多传统的免疫抑制剂,其中包括皮质类固醇、环磷酰胺(CTX)、硫唑嘌呤和吗替麦考酚酯。这些药物均可用于抑制淋巴细胞和中性粒细胞的活性,从而减少炎症反应,降低肾脏损伤。此外, KDIGO和日本的指南也都建议蛋白尿超过1g/天且 eGFR高于50 mL/min/1.73m2 (KDIGO)或60mL/min/1.73m2 (日本)的原发性 IgA肾病患者在有支持性治疗的情况下,仍应使用全身糖皮质激素,以维持肾脏功能正常。
但是,对于原发 IgA肾病来说,糖皮质激素的使用仍然是一个有争议的问题。
德国一项关于STOP-IgA肾脏疾病的临床研究表明,使用免疫抑制剂对继续接受支持疗法的病人获益甚微。糖皮质激素疗法较单纯支持疗法有较高的临床缓解率,但其副作用也较大,如血糖代谢紊乱、体重增加及感染等。
然而,在国内的一项研究中,我们发现,对于原发性 IgA肾病,采用泼的松联合 CTX,治疗总有效率达到了83.3%,并且在一个疗程之后,所有的临床指标都有了显著的改善。但是,在这一过程中,我们需要将患者的肾功能损伤情况考虑进去,如果肾功能出现了严重的障碍,那么联合治疗的效果就会受到不利的影响
Kinpeygo是一种用于布地奈德的靶向性缓释药物。
前期,布地奈德经肝首过代谢后进入体循环的量不足10%,而靶向性药物可将布地奈德输送至回肠末端,这是粘膜相关淋巴结(MALT)中 B细胞最集中的位置。
已有研究表明,肠粘膜免疫与 IgA肾病密切相关,针对肠上皮细胞的 MALT可能是治疗 IgA肾病的新策略。布地奈德靶向给药能有效抑制肠粘膜 B细胞的激活与增殖,减少糖皮质激素使用引起的毒副作用。同时,该靶向性药物对 IgA肾病的治疗也有一定的促进作用。
除了布地奈德,新的治疗方法如利妥昔单抗,硼替佐米等新疗法也都在研发之中。利妥昔单抗(Rituximab)可以清除 B细胞表面CD20受体,降低Gd-IgA1及Gd-IgA1-IgG抗体的生成,从而达到治疗 IgA肾病的目的。
Kinpeygo对蛋白尿的影响是在一项随机、双盲、多中心研究中评估的,招募了患原发性IgA肾病的患者199名,这些患者接受过稳定剂量的最大耐受RAS抑制剂治疗,患有其他肾小球疾病、肾病综合征或曾接受全身免疫抑制药物治疗的患者被排除在外。患者按1:1的比例被随机分配到Kinpeygo治疗组或安慰剂组,持续治疗9个月。在199名完成9个月随访的患者中,68%为男性,86%为白种人,12%为亚洲人,16%来自美国。中位年龄为44岁(范围23 - 73岁)。研究结果如下图:


结果表明, Kinpeygo组的病人接受9个月的治疗后,尿液中的肌酸肌酐较接受安慰剂的病人减少了31%,较基线时水平总降低达到34%,并且Kinpeygo治疗组患者的 eGFR几乎没有改变,其肾脏功能也相对稳定,比安慰剂组高出3.87 mL/min/1.73m2。
Everest Medicines医学博士Kerry Blanchard表示:“我们祝贺我们的合作伙伴Calliditas取得了另一项重大成就,将这种首创疗法带给全球更多患有慢性病的患者,与世界其他地方相比,原发性IgAN在亚洲更为常见,对创新治疗的需求未得到满足,我们希望尽快在我们地区推出这种重要的治疗方法。”

2026-01-13 17:41:16
2025-12-12 23:13:47
2025-12-10 22:39:34
2025-10-28 10:44:29
2025-10-28 09:41:39
2025-10-28 09:39:14
2025-10-12 17:01:38
2025-10-09 16:21:59
2025-10-04 19:55:58
2025-10-02 10:12:13